Implanturile dentare au devenit o soluție larg acceptată și eficientă pentru înlocuir ea dinților, integrându-se perfect cu dantura naturală. Ele oferă o soluție de durată și reprezintă un pas important în inovațiile stomatologice din ultimele patru decenii. Aceste implanturi sunt realizate din materiale biocompatibile, cum ar fi titanul, și sunt inserate chirurgical în osul maxilar pentru a susține dinți artificiali atât în maxilarul superior, cât și în cel inferior.

Componentă de bază a unui implant dentar. Plasată chirurgical în osul maxilar. Servește drept rădăcină artificială a dintelui. Oferă stabilitate și suport pentru întreaga structură a implantului.

Piesa de conectare care se atașează la șurub.Iese deasupra liniei gingiei.Oferă o platformă pentru atașarea coroanei dentare sau a dintelui protetic.Asigură alinierea corectă și funcționarea corespunzătoare a restaurării finale.

Partea vizibilă a implantului dentar, care seamănă cu un dinte natural.Realizată la comandă pentru a se potrivi cu culoarea, forma și dimensiunea dinților existenți ai pacientului.Restaurează funcționalitatea dintelui lipsă (de exemplu, mestecatul, vorbirea).Îmbunătățește aspectul general al zâmbetului.
Majoritatea clinicilor au costuri separate pentru fiecare dintre aceste elemente din planul de tratament. Asigurați-vă că solicitați un plan de tratament complet, cu toate costurile incluse, de la clinica la care decideți să începeți tratamentul.
Procedurile de implant dentar includ diverse opțiuni adaptate nevoilor fiecărei persoane. Acestea cuprind plasarea unui singur implant pentru înlocuirea unui dinte izolat, plasarea de implanturi multiple pentru a restaura mai mulți dinți lipsă, soluții de implanturi pentru întreaga gură în caz de înlocuire completă a dinților și proceduri de augmentare sinusală pentru a crește densitatea osoasă în maxilarul superior, necesară pentru o plasare reușită a implanturilor.


Procedura „Dinți ficși pe implanturi” constă în 4 etape etape principale, fiecare jucând un rol crucial în asigurarea succesului și durabilității tratamentului. Structura etapelor și durata acestora pot varia în funcție de complexitatea și specificul fiecărui caz medical, astfel încât tratamentul să rămână eficient și să ofere rezultate de lungă durată.

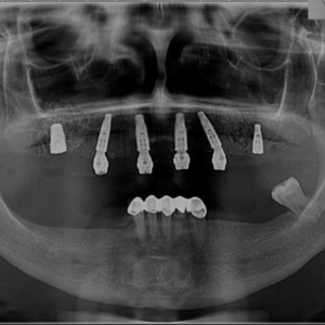
Pacientul se prezintă la o consultație clinică, însoțit de o radiografie panoramică sau un CBCT (tomografie computerizată cu fascicul conic). În cadrul acestei consultații, se efectuează o examinare detaliată și se analizează imaginile pentru a planifica cu precizie tratamentul. Se stabilesc pozițiile optime pentru implanturi și se evaluează starea osului sau a dinților ce urmează să fie extrași, dacă este cazul. Toate datele obținute sunt integrate într-un plan digital personalizat, care asigură o intervenție sigură și eficientă.

Sub anestezie locală sau sedare, medicul dentist plasează implanturile dentare în osul maxilar sau mandibular. Dacă este necesar, în cadrul aceleiași intervenții se efectuează adiții de os sau extracții dentare. Implanturile de tip All on 4 sau All on 6 sunt poziționate strategic, conform planului stabilit în etapa de evaluare, fiind plasate la unghiuri optime pentru a asigura stabilitatea și integrarea lor. Procedura este nedureroasă și are o durată de aproximativ 1 oră și 30 de minute pentru o arcadă, iar pentru ambele arcade poate dura până la 3 ore.

La 24-48 de ore după intervenție, pacientul revine pentru fixarea danturii provizorii pe implanturi. Lucrarea temporară este ajustată pentru a se potrivi perfect și pentru a asigura un zâmbet estetic și funcțional imediat. Această proteză temporară va fi purtată timp de aproximativ 6 luni, perioada necesară vindecării implanturilor. În această etapă, medicul oferă și instrucțiuni post-operatorii detaliate pentru îngrijirea corectă a danturii provizorii și a implanturilor pe durata procesului de vindecare.

După 6 luni de la intervenție, procesul de osteointegrare s-a finalizat, iar implanturile s-au fixat complet în osul arcadei. Lucrarea temporară este acum înlocuită cu o lucrare fixă, de lungă durată, realizată pe baza măsurătorilor digitale și a mulajelor precise. Aceasta este montată pe implanturi, oferindu-i pacientului un zâmbet natural, estetic și complet funcțional. Medicul efectuează ultimele ajustări pentru a asigura confortul maxim și adaptarea perfectă a lucrării definitive.